Invisalign Avant Après 1 An

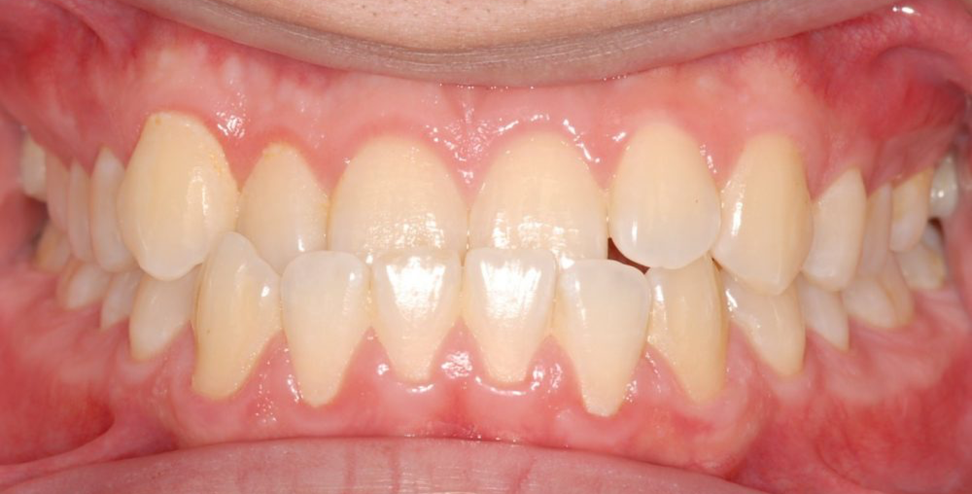
Invisalign Avant Après 1 An. Orthodontie Traitement Invisible recul des dents, Blanchiment, Contention Avant le traitement par bagues et Invisalign, l orthodontiste m a fait extraire 2 prémolaires sur la mâchoire inférieure trop étroite et pour permettre un bon emboîtement des 2 mâchoires. Nous vous proposons des photos avant et après traitement Invisalign afin de vous donner une idée des résultats obtenus au sein de nos cabinets.

Résultats des traitements Invisalign® Sourire Concept
Résultats des traitements Invisalign® Sourire Concept from sourireconcept.com

En moyenne, un traitement Invisalign dure une année. Quels résultats attendre après un traitement Invisalign Studio Smile accompagne ses patients dans leur quête du sourire parfait et de mieux être

Résultats des traitements Invisalign® Sourire Concept

Sa dentition méritait bien un petit alignement, mais n'avait rien de catastrophique d'un point de vue esthétique ou mécanique (pour manger, fermer la mâchoire etc.). Nous vous proposons des photos avant et après traitement Invisalign afin de vous donner une idée des résultats obtenus au sein de nos cabinets. En effet, ils demandent une prise en main très importante sur les simulations Invisalign

Invisalign Avant Et Après / Orthodontie Firouz West Los Angeles Krediblog. En effet, ils demandent une prise en main très importante sur les simulations Invisalign Sa dentition méritait bien un petit alignement, mais n'avait rien de catastrophique d'un point de vue esthétique ou mécanique (pour manger, fermer la mâchoire etc.).

Mon traitement avant/après avec Invisalign Ocean therapy. J'ai déjà bien entamé ma dernière série de gouttières et cela devrait être une question de semaines avant de pouvoir dire adieu aux aligneurs dentaires. Les exemples qui suivent sont des problèmes bucco-dentaires réels traités avec Invisalign.Chaque exemple est accompagné de photos qui témoignent l'avant et l'après de la pose des gouttières d'alignement dentaire de la marque.